Dr. Daniel López Molinari
Ortodoncia y Ortopedia Maxilofacial
Estudios Superiores
- Doctor en Cirugía Dental, Universidad Católica de Honduras
- Especialista en Ortodoncia y Ortopedia Maxilofacial, Universidad Católica de Honduras
Estudios Complementarios
- Diplomado en Gestión de la Calidad Total, Universidad Católica de Honduras
- Diplomado en Inglés para la Comunicación Internacional, Universidad Católica de Honduras
- Certificación bajo la Norma ISO 9001:2008, Universidad Católica de Honduras
- Diplomado en Educación Superior, Universidad Pedagógica Nacional Francisco Morazán
- Certificación Aligner Plus, Alineadores/ Ortodoncia Invisible, Dr. Luis Felipe Henao
Experiencia Laboral
- Clínicas de la Fuerza Aérea (Primer Escuadrón de Defensa Aérea)
- Clínica Dental Y Endodoncia Dr. Jaime López Arias.
- Clínicas CEED (Centro de Especialidades y Emergencias Dentales), Clínica Dental Y Endodoncia
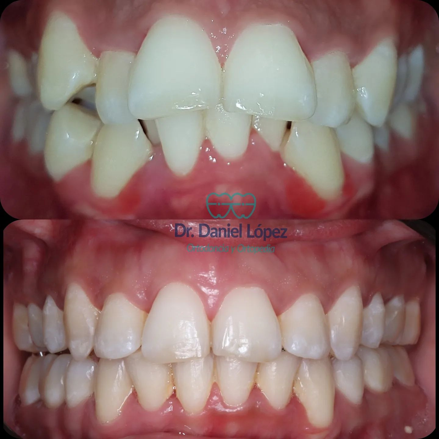
Servicios Ofrecidos
- 
Ortodoncia Convencional (Metálicos y Estéticos)
- 
Brackets de autoligado (Metálicos y Estéticos)
- 
Ortodoncia Invisible
- 
Ortopedia Maxilofacial
Horarios
Idiomas
- Español
- Inglés
Formas de pagos aceptadas
- Efectivo
 
                                         
                                                             
                                                            